医院からのお知らせ
- 新宿の専門医がいる歯医者「新宿KU歯科」TOP
- 医院からのお知らせ
- 親知らず抜歯
- 親知らず抜歯(難抜歯症例)
親知らず抜歯(難抜歯症例)
-

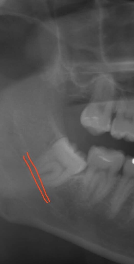
抜歯前
-

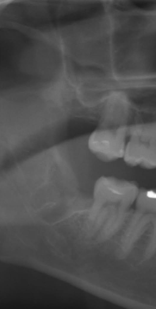
抜歯後
症例について
| 治療名 | 親知らず抜歯(難抜歯) |
|---|---|
| 治療内容・説明 | 歯根が開いており先端も太く、下歯槽神経に近接している親知らずの抜歯症例です。手前の歯に食い込んでおり、時々腫れを繰り返していただため抜歯をご希望されました。周囲の歯槽骨を削合してから歯を分割し、慎重に抜歯を行いました。親知らずは骨が硬くなる前の若いうちに抜歯した方が、術後の負担が軽減されます。欧米では将来のトラブルを予防するための早期親知らず抜歯を「ウィズダムトゥースアウト(Wisdom Tooth Out)」と呼び、一般的に行われています。 |
| 患者情報 | 30代男性 |
| 治療期間 | 1日(治療部位の治癒まで約1週間) |
| 通院回数 | 1回(検査当日に抜歯が可能な場合とできない場合があります) |
| 費用(税込) | 保険適応3割負担として約4,000円〜6,000円 (抜歯代とは別に、初診料、CT撮影費用、お薬代がかかる場合があります) |
| リスク・副作用 | 抜歯後は腫れ・痛み・出血・内出血(青あざ)が生じることがあります。下顎の親知らずは下歯槽神経に近接しているため、術後に唇や舌のしびれ(知覚麻痺)が生じるリスクがあります。神経に近い症例では、しびれが長期間続く可能性もあります。また、ドライソケット(抜歯窩の治癒不全)により強い痛みが持続する場合があります。術後は安静にし、激しい運動や飲酒、喫煙は控えてください。 |
【備考】
親知らずの抜歯は、歯の位置や形態、神経との位置関係により難易度が大きく異なります。当院ではCT撮影により事前に詳細な診断を行い、安全な抜歯を心がけています。
監修者情報
加藤さゆり
新宿の歯医者 インプラント治療・矯正治療・審美歯科治療
新宿KU歯科

〒160-0022
東京都新宿区新宿3-32-5
日原ビル4階
TEL.03-6457-7003
【平日】10:00~19:00
【土曜】9:00~15:00
休診日:木・日・祝
